Best Tooth Crowns and Dental Bridges in Abu Dhabi

Crowns and Bridges

Regain the full function of your teeth

At Marigold Dental & Orthodontic Clinic, we believe a healthy, radiant smile is key to confidence and well-being. But when a chipped tooth, missing tooth, deep cavity, or excessive wear affects your smile, it can impact both function and appearance.

Dental crowns and bridges provide a seamless solution, restoring the strength, functionality, and aesthetics of your teeth, so you can smile with confidence again!

Dental Crowns

Stronger Teeth, Radiant Smiles

A dental crown is a custom-made, tooth-shaped cap designed to restore both the strength and beauty of your smile. Made from high-quality materials like Emax or zirconia, crowns blend seamlessly with your natural teeth, offering exceptional durability, aesthetics, and functionality.

Crowns serve multiple purposes in restorative and cosmetic dentistry:

Strength & Protection – Reinforce teeth weakened by severe decay, cracks, or fractures, preventing further damage and ensuring comfortable chewing.

Post-Root Canal Care – Act as a protective shield, reducing the risk of breakage after a root canal treatment.

Aesthetic Enhancement – Improve the appearance of discolored, chipped, or misshapen teeth, providing natural-looking, confident smiles.

With dental crowns, you can restore your smile’s function and beauty, ensuring a long lasting, healthy grin!

Best Tooth Crowns in Abu Dhabi
Best Dental Bridges in Abu Dhabi

Dental Bridges

Seamlessly Restore Your Smile

A complete smile is more than just aesthetics—it plays a crucial role in eating, speaking, and overall confidence. Missing teeth can create gaps that affect your oral function and self-esteem. Dental bridges offer a reliable solution by filling these spaces, restoring both the appearance and functionality of your smile.

A bridge consists of one or more artificial teeth (pontics), securely anchored to adjacent natural teeth or dental implants (abutment teeth). Designed to blend seamlessly with your natural teeth, dental bridges:

Restore Chewing & Speaking Ability – Enjoy the freedom to eat and speak with ease.

Prevent Shifting Teeth – Maintain proper alignment by filling gaps left by missing teeth.

Enhance Aesthetics – Achieve a natural, confident smile with expertly crafted restorations.

With a custom-fitted dental bridge, you can regain a healthy, complete smile that looks and feels natural!

Benefits of Getting Crowns & Bridges at Marigold Dental & Orthodontic Clinic

Restore your smile, confidence, and functionality with expertly crafted crowns and bridges at Marigold Dental & Orthodontic Clinic!

Expert Care & Experience

Our skilled dentists and specialists have extensive training in restorative dentistry, ensuring top quality results.

Personalized Treatment Plans

Every patient receives a customized approach tailored to their unique dental needs and aesthetic goals.

Premium-Quality Materials

We use only top-grade materials like Emax and zirconia, offering superior durability, aesthetics, and long-lasting success.

Advanced Technology

Our state-of-the-art digital tools ensure precise, comfortable, and effective crown and bridge placement.

Comprehensive Care

From detailed pre-treatment assessments to precise procedures and attentive post-care, we prioritize your comfort and satisfaction for the best possible outcome

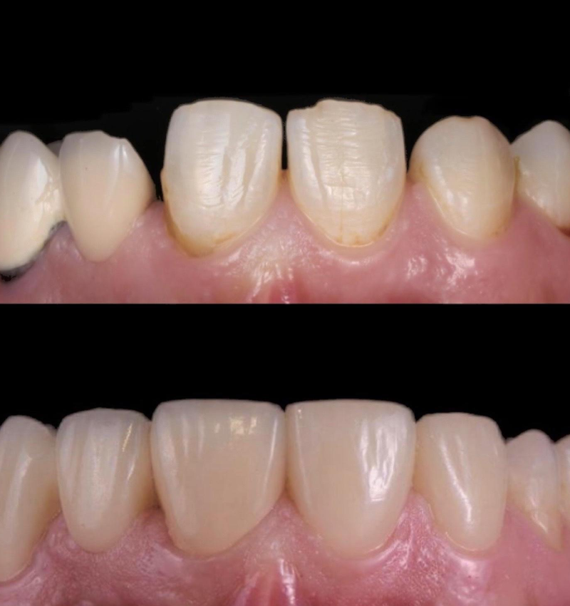
Before & After

Before and After Tooth Crowns and Dental Bridges
Tooth Cap in Abu Dhabi

Our Smile Transformation Gallery

FAQs - About Crowns & Bridges

A crown is a custom-made cap placed over a damaged or weakened tooth to restore its strength and appearance. A bridge is used to replace one or more missing teeth, anchoring artificial teeth (pontics) to adjacent natural teeth or dental implants.

With proper care, crowns and bridges can last between 10 to 15 years or longer. Regular brushing, flossing, and dental check-ups help extend their lifespan.

The procedure is minimally invasive and performed under local anesthesia, ensuring a comfortable experience. Mild sensitivity may occur after the procedure but typically subsides within a few days.

•Maintain good oral hygiene by brushing twice daily and flossing, especially around the restoration.
•Avoid biting hard objects (ice, pens, etc.) to prevent damage.
•Visit your dentist regularly for check-ups and professional cleanings.

Yes! We use high-quality materials like Emax and zirconia, designed to match the color, shape, and translucency of your natural teeth for a seamless look.

Typically, the process takes two visits: • The first visit involves preparing the tooth, taking impressions, and placing a temporary crown/bridge. • The second visit (within a week) involves placing and securing the final restoration.

Yes! Once the restoration is placed, you can eat comfortably, but it’s best to avoid very hard or sticky foods that could put extra stress on your restoration.

Coverage varies depending on your insurance provider and plan. Our team can assist in checking your benefits and providing treatment cost estimates.

Where Healthy Smiles Begin
Schedule Your Appointment Today